首个β-淀粉样蛋白PET扫描示踪剂的中国上市申请获受理

发布日期:2022年7月11日
作者:先通医药

2022年7月8日,先通医药的氟[18F]比他班注射液(NeuraceqTM上市申请获得受理。

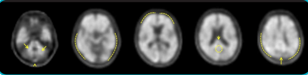
Neuraceq为一种脑β-淀粉样蛋白(Aβ)正电子发射断层扫描(PET)显像剂,是由德国Life Molecular Imaging (LMI)公司所研发,该显像剂通过PET/CT或PET/MRI设备进行PET成像,可对成年患者脑内β-淀粉样蛋白(Aβ)水平进行精准测定,以评估阿尔茨海默病(AD)导致认知功能下降的病因。

该产品率先在欧美获批上市后广泛应用于AD诊断,先通医药获得在中国境内研发、注册申请和商业化生产等独家许可,随后积极推进国内临床试验与注册工作,于2022年7月8日获得CDE上市申请受理。

氟[18F]比他班注射液是一种18F标记的二苯乙烯衍生物,可与AD患者大脑皮层中的Aβ斑块特异性结合,不与组织中的Tau或α-突触核蛋白作用;氟[18F]比他班注射液通过18F核素产生正电子信号,由PET/CT或PET/MRI设备进行PET扫描,以PET图像检测大脑各区的Aβ斑块形成信号。

Aβ斑块早在患者痴呆症状出现前15-20年就可能已经在脑部开始沉积,随着认知障碍的病程延长,Aβ斑块在脑部沉积逐渐加重,若能在痴呆出现前发现Aβ斑块沉积,尽早治疗干预,有可能使该类患者终生不会出现痴呆症状,因此早期诊断与治疗干预至关重要。目前世界范围特别是美国FDA批准临床阶段或者已经获批AD治疗药,均是AD早期阶段才能确保治疗效果,延缓甚至逆转疾病进程。

氟[18F]比他班注射液上市申请的受理预示着我国AD患者将迎来诊断“新生”,代表着未来AD精准诊断及伴随诊断领域首次出现平台型产品,对于AD疾病的诊疗一体化,具有历史性突破的意义。

目前,在全世界范围内,老年痴呆患者超过5500万人,其中有超过1000万患者分布在中国。我国居民对阿尔茨海默病的认知和重视程度都较低,普遍存在低诊断率(尤其是早期诊断)和低治疗率的现象。阿尔茨海默病患者从轻度到重度进展平均需要8-10年,而从轻度认知障碍发展为轻度痴呆,平均只需要2-4年的时间。有效把握这一治疗的黄金窗口期,及时诊断与治疗干预,可极大延缓疾病进展速度。

国家政策也在不断的明确降低患病率的目标,国家卫健委印发的《探索老年痴呆防治特色服务工作方案》强调,我国公众对老年痴呆防治知识知晓率要达到80%目标,社区(村)老年人认知功能筛查率要达到80%目标。产品未来的批准上市对于临床医生更好地诊断AD疾病,评估患者家属患病风险,或是在高端体检等领域,具有特殊意义。在未来相当长的一段时间内都是唯一商业化的应用,非常值得期待。